Helma Philips, DDS
Aesthetic, Restorative & Implant Dentistry in Midtown NYC

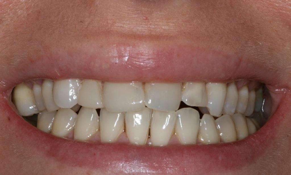
Porcelain Veneers

Porcelain veneers are one of the most popular and versatile cosmetic dentistry options available today. Our cosmetic dentist in New York, NY, assessed this particular case, and she and the patient agreed that veneers were the best option for smile restoration and aesthetics.

Veneers are thin strips of porcelain fixed to teeth. They create the illusion of a beautiful and symmetrical smile. And you can veneer as many teeth as you'd like!

Related Services:

Porcelain Veneers
Patient Testimonial - Peter
Ready to book an appointment?
If you have difficulty using our website, please email us or call us at (212) 644-0004
View the ADA Accessibility Statement