Dental Implants in Midtown, Manhattan
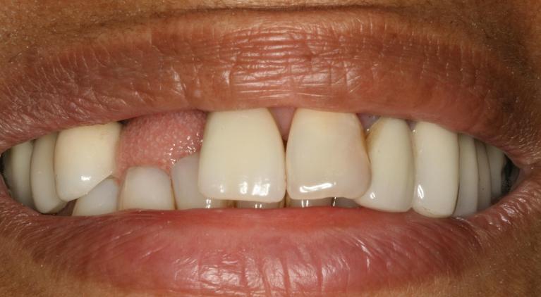
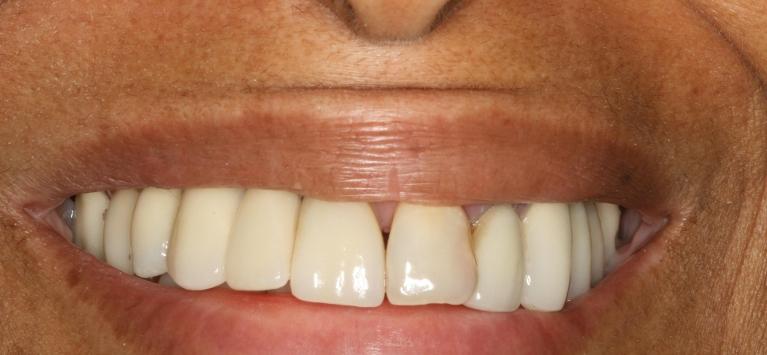
If you are missing at least one of your natural teeth, you understand how devastating tooth loss can feel. Whether you’re in pain because of oral health problems, miss being able to speak and eat normally, or feel anxious about how to live with a gap in your smile, losing a tooth can alter your way of life.
Here at the dental office of Dr. Helma Philips in Midtown Manhattan, we work hard to help you get back to living your very best life by offering the highest quality tooth replacements available. Losing teeth can be stressful and embarrassing, but Dr. Philips has a predictable and successful option to restore your oral function and comfort: dental implants.
If you’re considering dental implants in 10022, our dental office can help. Contact us today using our online form or via telephone at (212) 644-0004 to learn more!
- An Experienced Dental Implant Dentist
- The Dental Implant Process in Midtown NYC
- Learn More About Dental Implants in Midtown Manhattan
An Experienced Dental Implant Dentist
Because dental implants involve oral surgery and extreme precision in their placement, it’s crucial for you to work with a dentist who has significant experience placing and caring for dental implants. Tooth implants are more complex and require more skill and knowledge than the average dental treatment, which is why we want to offer only the very best in implant dentistry.
Dr. Helma Philips graduated from the most prestigious surgical and restorative implant programs at NYU and the Misch Implant Institute. She invested many years of education in making the procedure highly successful and comfortable for her patients. Dr. Philips has been providing patients with dental implants from the comfort of our modern practice since 2007.
Our Manhattan implant dentist spent a full year designing and building our beautiful boutique dental office. When you visit us, you will discover right away that we are not your average dentist. We’ve created a pristine, top-of-the-line dental office that reflects the culture of Madison Avenue in Midtown.
If you choose to work with our dental team for your tooth implant needs, we will be here to help every step of the way. Our knowledgeable and experienced treatment team wants to see you with a thriving smile, so we’ll do everything we can to make the process successful for you.
The Dental Implant Process in Midtown NYC
Dr. Philips will explain the procedure for receiving dental implants in more step-by-step detail during your consultation. However, you can generally expect several dental appointments as you will need to have a pre-op workup and evaluation, the implant placement itself, and follow-up visits to monitor the health of the surgical site and the bone integration process.
Pre-Dental Implant Evaluation
We will use initial CBCT 3-D imaging to evaluate your mouth's dimensions and bone quality in the area where you need a dental implant. Then, our implant dentist will plan for the most optimal implant size according to your anatomy. Your dental implant will remain in your mouth forever, so it’s crucial to choose the best materials to work with from the very beginning, so we set you up for long-term success.
Implant Placement
Implant placement is pain-free and done under local anesthesia. The area where we place your dental implant will be completely numb before we begin surgery. Dr. Philips will give you instructions to help ensure proper healing, and you can resume your normal activities and go back to work shortly.
Healing and Fusing With Your Jaw
Once we place your dental implant in the missing tooth space, it needs three to four months of integration with the bone. This means that you will need to treat your mouth gently to allow the metal to fuse with your jaw. During this time, you will need to follow a soft diet and keep the area around your dental implant post incredibly clean.
Constructing the Rest of the Dental Implant
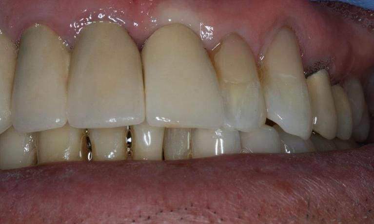
After this osseointegration period, we will then take an impression of your implant abutment and porcelain crown. We will send your impression to a highly specialized laboratory. Two weeks later, our implant dentist, Dr. Philips, will attach the implant abutment and a beautiful, natural-looking porcelain implant crown.
Although the overall process takes some time, the results are beautiful, completely reliable, and convenient. Dentists all over the globe consider dental implants the “gold standard” in tooth replacement dentistry because of their quality and permanence. If you want a dependable replacement for a missing tooth, you can’t do better than a dental implant.
What Are Dental Implants Made Of?
Dental implants are generally made of biocompatible metals, such as titanium. Biocompatible metals present the best results when integrating with the body and fusing with existing bone.
Most dental implants consist of three parts:
- Implant post (screw)
- Custom abutment (attachment)
- Porcelain crown (visible, artificial tooth)
Dr. Philips will customize each part of the dental implant for ideal function and esthetics.
Dental implants are so secure and reliable because they do most of their work under the surface of your gum line. Unlike other tooth replacement options, dental implants have an artificial “tooth root” (the titanium post) that lives permanently in your jaw and provides essential structural support to your bite. Dental implants in Midtown allow you to bite, chew, and speak normally in a way that’s otherwise impossible when you lose a tooth.
What If I Am Missing Multiple Teeth?
If you are missing multiple teeth and want a solution other than replacing each missing tooth with individual dental implants, dental implant-supported dentures offer a stable and less invasive solution to the problem of missing teeth.
Creating these dentures and placing the necessary implants is a separate process that looks different from traditional dental implant placement. If you are more interested in learning about this type of tooth replacement, we invite you to make a dental appointment with Dr. Philips or to read more about the treatment on our Dental Bridges and Dentures webpage.
What If I Do Not Have Enough Bone to Support a Dental Implant?
Dental implants require sufficient bone to support both the implant post and the load on your bite caused by chewing.
Additional procedures such as bone grafting and sinus lifts can make dental implants a possibility for nearly every patient, even ones who do not initially have enough bone support. However, certain medications and medical conditions might limit tooth replacement options. Talk to Dr. Philips to discuss the options for replacing missing teeth that will work best for you.
How Do I Care for My Dental Implants?
Single dental implants require the same dedicated oral hygiene as your natural teeth. Brushing teeth for two minutes at least twice daily and flossing between teeth, including around your dental implant, at least once daily will help you get the most out of your dentistry and keep your remaining natural teeth for as long as possible.
Learn More About Dental Implants in Midtown Manhattan
The best way to get started is with a dental implant evaluation in our Midtown NYC dental office. Dr. Philips will go over every tooth replacement option with you to make a choice that works best for your smile. If you’re a good candidate for dental implants, we’ll help you make the required appointments and schedule your procedure for the coming months.
To learn more about how dental implants can improve your life in 10022, contact our friendly dental office today at (212) 644-0004!
Dental implants have three components: the implant post, the abutment, and the dental prosthetic.
Oral Hygiene Prolongs the Life of Dental Implants
Before a patient begins any dental treatment at our practice, Dr. Helma Philips schedules them for a thorough oral examination and consultation. During this appointment, she evaluates the patient’s oral health, medical history, and more to determine their candidacy for dental implants.
While each patient is different, it’s best to plan on three to six months to get your final dental implant tooth. The reason for this is that your dental implant actually becomes a functioning part of your body – but the healing process takes time.
Oral Health and Dental Implants