Helma Philips, DDS
Aesthetic, Restorative & Implant Dentistry in Midtown NYC

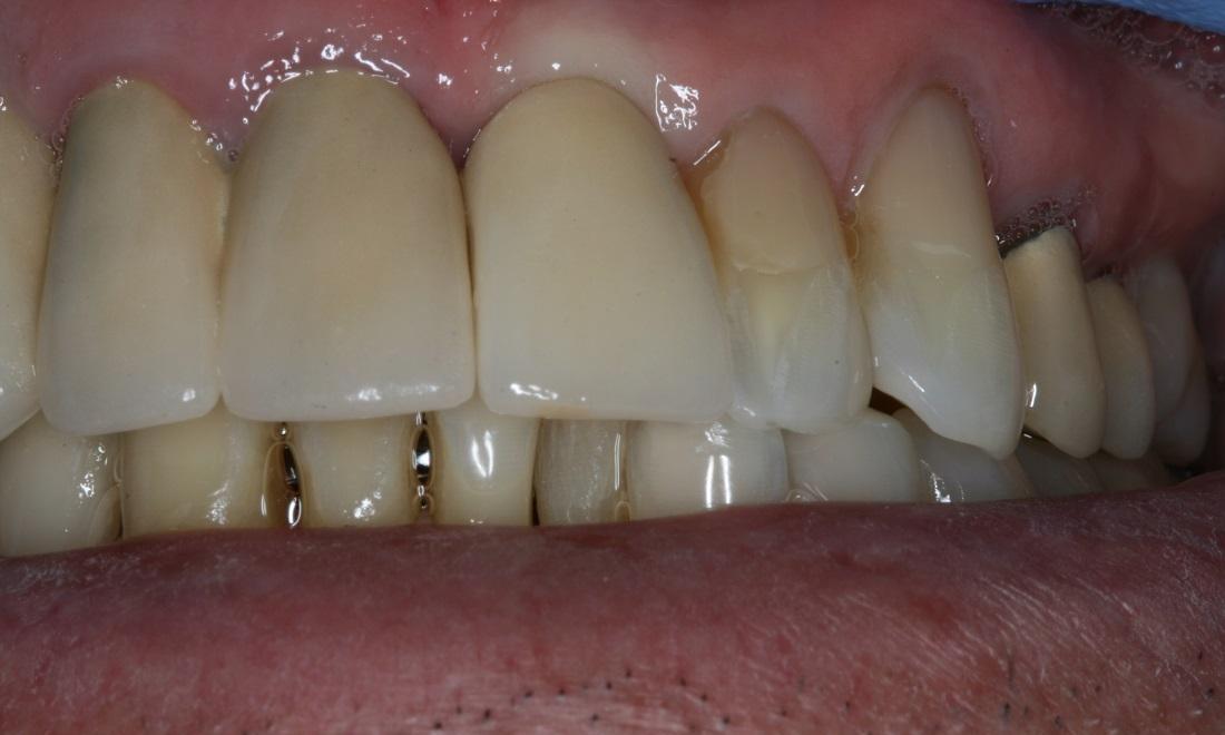
Front Tooth Implant

This patient in Manhattan, was in need of a new front tooth. We used a dental implant to replace his missing tooth, and complete his smile. 

Related Services:

Dental Implants
Patient Testimonial - Kris
Ready to book an appointment?
If you have difficulty using our website, please email us or call us at (212) 644-0004
View the ADA Accessibility Statement