Skip to main content
Fillings, Crowns, and Onlays
Solutions for Broken & Decayed Teeth

When teeth sustain trauma, decay, or have root canal treatment, fillings, crowns, and onlays can provide a solution.

man with dental crowns smiling in midtown manhattan
We Offer Durable e.max and Zirconia Crowns
Contact Us

Fillings, Crowns, and Onlays in Midtown, Manhattan

woman dental fillings in midtown manhattanEven with the best home and professional dental care, you may have a broken, cracked, worn, or decayed tooth that your dentist needs to repair. These repairs are called dental restorations and include dental fillings, bonding, crowns, and onlays.

At our Midtown Manhattan dental office, Dr. Helma Philips uses only high-quality, tooth-colored restorations to repair damage and give a natural-looking appearance.

Cosmetic Tooth-Colored Fillings

Dr. Philips is a restorative and cosmetic dentist and an expert at treating dental cavities with white composite resin fillings. With her extensive experience and training, you can expect to be delighted with the results she achieves.

Dr. Philips uses state-of-the-art digital imaging systems to diagnose tooth cavities. After a thorough exam, Dr. Philips will review your digital x-rays, use laser imaging, and take pictures with our intraoral camera. She will use your chairside monitor to share her findings with you and review her treatment recommendations. 

Dr. Philips uses only the highest quality composite resin fillings that closely mimic the appearance of tooth enamel and reduce tooth sensitivity. When she matches the shade of the dental filling to your natural tooth color, it will blend seamlessly with your smile. 

Midtown NYC patients concerned about their smile's appearance appreciate the natural look our custom-shaded fillings provide.

Cosmetic Dental Bonding

We use the same tooth-colored material for a process called cosmetic dental bonding. Bonding is a conservative and affordable procedure where we add composite resin to a tooth's existing structure to fix small chips and size and shape differences.

Why Choose Porcelain Onlays and Crowns?

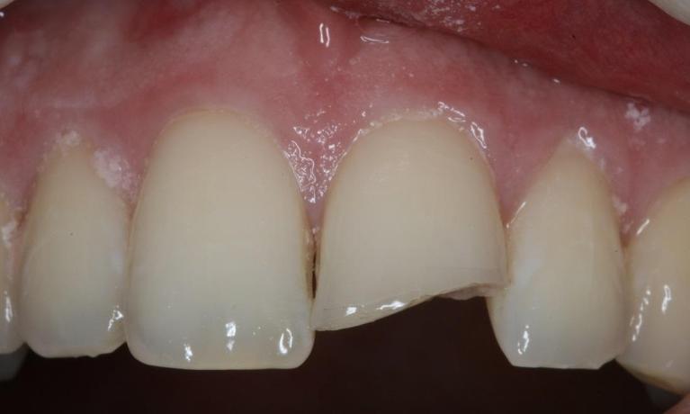
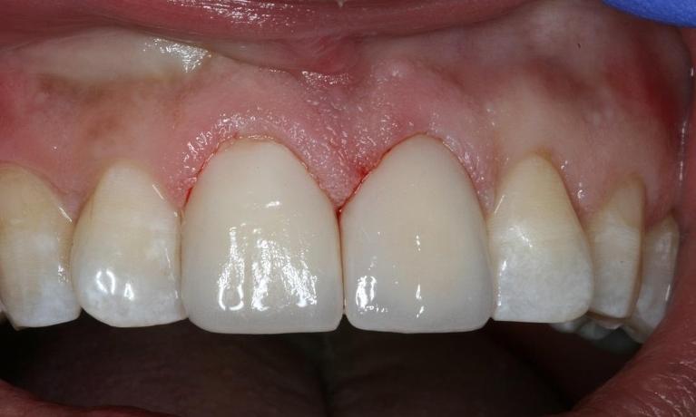
When we need to repair a broken or cracked tooth, the best choice is often porcelain onlays and crowns. Cosmetic and restorative dentist Dr. Helma Philips cares about the results and uses only the highest-quality material for her crowns and onlays.

dental crown | Midtown Manhattan DentistState-of-the-art zirconia and e.max crowns are strong and durable and provide beautiful aesthetic results. These types of metal-free crowns need minimal tooth preparation, preserve natural tooth structure, and do away with the unattractive black line at the gum line.

Zirconia and e.max crowns restore a damaged tooth's function and look like tooth enamel to blend seamlessly with the patient's smile.

Dr. Philips might choose a crown or onlay to restore a tooth when:

  • A large filling is present
  • A tooth has a hairline crack
  • A tooth is worn or broken due to excessive tooth grinding and clenching

Since an onlay covers only part of a tooth, we remove less tooth structure than with a full crown. Like dental crowns, onlays will look natural and function comfortably.

Local, NYC-Made Dental Restorations

Dr. Philips has a trusting relationship with an excellent custom ceramic laboratory located in NYC. In 20 years, she has never sent lab work out of town or overseas.
We can be confident that the lab uses the finest materials and crafts crowns and onlays to Dr. Philips' specifications for the best fit and function.

Post Root Canal Treatment Dental Crowns

We commonly recommend a tooth crown after root canal treatment. The reason is that removing the inner pulp of the tooth can cause it to become brittle and prone to cracking. Since a dental crown is designed to surround the tooth, it protects it from damage and absorbs strong chewing forces.

Learn More about Restorative Dentistry in Midtown, NYC

If you have questions about the appropriate treatment to return comfort, function, and beauty to your smile, contact Advent Dental to arrange an appointment with Dr. Philips.

Highly, highly recommend

Dr. Philips and her team are wonderful! They have done two crowns for me, including on a front tooth, and Dr. Philips is very detail-oriented and good at communicating around any potential issues. Practice is very clean. Highly, highly recommend.

 

Allison

Frequently Asked Questions

Yes! Restorative dentist, Dr. Helma Philips, takes both the science and artistry of dentistry into account when choosing the materials we use to create your restorations. At our Midtown Manhattan dental office, we offer a variety of materials to choose from for dental crowns, so you always get the best results.

dental crownsDifferent Types of Crowns in Midtown

All-porcelain crowns – Traditionally used for tooth-colored crowns, porcelain works well for teeth that don’t require heavy loads caused by chewing. Each porcelain crown can be shaded to match the natural teeth.

e.max crowns – e.max crowns have an unsurpassed translucency and natural appearance. e.max crowns work perfectly for teeth that are visible when you smile, but also need more protection than a porcelain veneer provides.

Zirconia crowns – Also strong and long-lasting, zirconia crowns have a more opaque appearance than e.max crowns. These are perfect for posterior (back) teeth that need extra support.

Each of these tooth-colored crowns eliminates the unsightly dark margin at the gumline of older, porcelain-fused-to-metal crowns.

Contact Dr. Helma Philips Today

Whether you have a broken tooth or just had a root canal, contact Advent Dental today to book an appointment with Dr. Philips to find out which dental crown will give you great results and a winning smile.

Dental crowns are a versatile and highly effective restorative option for many patients. Dr. Helma Philips, DDS is a dental crown expert in Manhattan who can help you achieve optimal oral health and a truly stunning smile. 

Dental crowns are robust and reliable, and they can often last between 10 and 15 years. However, it's essential to properly care for the crown if you wish to expand its longevity and prevent premature wear or damage. 

woman smiling after getting a crownCaring for Your Dental Crown 

#1 Brush and Floss Every Day 

Dr. Philips encourages patients to care for their teeth by brushing at least twice daily with fluoride toothpaste and flossing at least once daily. Brushing and flossing remove plaque from the teeth and prevent dental decay. 

#2 Eat a Nutritious Diet 

Eating healthy foods can improve your oral health and keep your teeth strong and fully functional. Indulging in hard, sticky, or chewy foods can damage or dislodge your crown, so Dr. Philips recommends exercising extreme caution. 

#3 Get Routine Dental Exams and Cleanings 

Routine dental exams and teeth cleanings allow Dr. Philips to identify any developing issues, meticulously clean your teeth, and ensure your dental crown remains in excellent condition. Preventive dental appointments also reduce the risk of dental crown wear. 

Contact Us for Dental Crowns in Midtown, NYC

Do you have a brittle or broken tooth? Dr. Philips can repair your smile with reliable and attractive dental crowns. Contact our Midtown dentist office today at (212) 644-0004 to schedule your appointment

Meet Our Doctor:

Dr Helma Philips DDS dentist in Midtown NYC

Dr. Helma Philips DDS, FICOI, FMIII
Dentist

General, cosmetic, and implant dentist, Dr. Helma Philips, DDS, opened her elegant boutique office on Madison Avenue in 2007 after designing and building it for a year, guided by her experience in a Central Park South dental office over the previous ten years.

Dr. Philips believes dental problems are easily detected in their early stages, and she can then treat them cost-effectively and comfortably before they progress. 

Cosmetic dentistry is coming of age with procedures that make a beautiful smile accessible to everyone and merges both health and beauty. 

Dr. Philips built her ...

Featured Blog Posts - Fillings, Crowns, and Onlays

May 23, 2023

Regain Your Confidence: Dental Crowns in Midtown Manhattan

woman smiling with sunglasses on in midtown manhattan

Simply put, cosmetic dentistry focuses on improving the appearance of a patient's teeth, gums, and bites. But, of course, perhaps due to its name, dismissing this collection of procedures and treatments as superficial can be tempting.

And yes, while many procedures under the cosmetic dentistry umbrella are aimed at aesthetics, ...

January 29, 2023

Damaged Is the Tooth That Needs a Crown

dental crowns in midtown manhattan

Most people don’t realize it, but the WHO reports that dental caries, another name for tooth cavities, are the most common non-communicable disease in the world. Not heart disease, nor cancer, but tooth decay.

That makes general dentistry in Midtown so vital because cavities are everywhere, and we’re ...

April 28, 2022

What to Do If a Dental Crown Breaks

couple with dental crowns | Dentist in Midtown Manhattan

Dental crowns in New York, NY, are versatile tooth-shaped covers or caps that fit over a natural tooth. A dental crown can improve the function, strength, and appearance of a decayed, broken, brittle, misshapen, or discolored tooth. Though dental crowns are highly durable, sometimes accidents occur, or the crown ...

Laser Cavity Detection Provides Earlier Diagnosis
Learn More Here