Helma Philips, DDS
Aesthetic, Restorative & Implant Dentistry in Midtown NYC

Porcelain Crowns

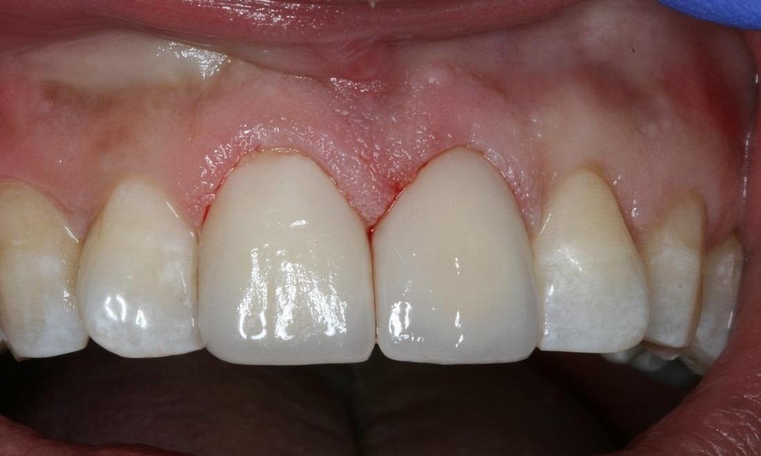
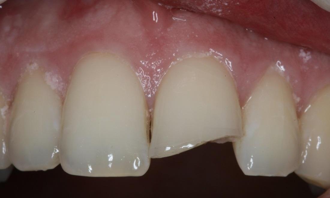
You don't have to conceal your smile if you have a broken tooth. Our cosmetic dentist in Midtown, NY, offers several restoration options, including porcelain dental crowns. 

We customize our dental crown to work for your smile. They are colored and shaped to complement aesthetically, restoring function and protecting your damaged tooth from further breakage and loss. 

This patient wanted to fix their chipped tooth but also wanted it to appear as if it was never broken. Dental crowns were the perfect solution.

Related Services:

Fillings, Crowns, and Onlays
Highly, highly recommend

Dr. Philips and her team are wonderful! They have done two crowns for me, including on a front tooth, and Dr. Philips is very detail-oriented and good at communicating around any potential issues. Practice is very clean. Highly, highly recommend.

 

Allison

Ready to book an appointment?
If you have difficulty using our website, please email us or call us at (212) 644-0004
View the ADA Accessibility Statement