Dental Emergencies and Extractions in Midtown, NYC
Dental emergencies in New York, NY can crop up without notice, interrupting your work or vacation schedule and causing alarm. Our team never wants to see you in pain or be in a position where you must wait days to receive treatment.
When you have a dental emergency, your emergency dentist Dr. Helma Philips and her team are here when you need us most. Our goal is to get you into our dental office as soon as possible to relieve your pain and restore your well-being.
If you have a toothache or other dental emergency, we encourage you to reach out to our dental team as soon as possible at (212) 644-0004. A team member can quickly assess your situation and make the best recommendation to see you through, including whether to come in immediately!
We also invite you to read through the headings below to learn more about our approach to dental emergencies and tooth extractions in New York, NY.
- How Do I Know if I Have a Dental Emergency?
- What Happens at an Emergency Dental Appointment?
- What if I Need a Tooth Extraction?
- What Are Some Reasons I Might Need a Tooth Extraction?
- Do You Offer Tooth Replacement Options Post-Extraction?
- How Can I Lower My Dental Emergency Risks?
How Do I Know if I Have a Dental Emergency in Midtown?
A toothache often begins with a slight twinge of sensitivity that gradually evolves into searing pain. The critical thing to remember is that dental pain indicates a problem.
When your dentist addresses it in the early stages, we can often save your tooth and prevent the spread of infection. Letting a dental emergency go for too long can result in tooth loss and complicated oral health issues that cost you time and money.
A toothache and swelling often mean an infection in your tooth that requires intervention from your emergency dentist.
We recommend you contact our Midtown Manhattan dental office at the first sign of trouble.
Common dental emergencies we treat include:
- Knocked out (avulsed) tooth
- A broken, cracked, or fractured tooth
- Infection and swelling
- Damaged fillings, crowns, veneers, and bridges
- Lost fillings, crowns, veneers, and bridges
- Damaged dentures
- Trauma due to an accident or sports
If your tooth is knocked out, it’s essential to keep it in a cup of water until your emergency dental visit. The water helps keep the tooth viable, and in some cases, your dentist can reset it into the gum.
For broken restoration, it’s crucial to keep the area clean until you see the dentist to prevent infection.
If you have an impact trauma or injury outside of your teeth or gums, our emergency dentist in New York, NY strongly urges you to visit the nearest emergency room.
You can contact our dental office once you’ve been declared safe. Your well-being is always the priority!
In some cases, you may feel unsure whether an oral health issue is a dental emergency. In that case, always contact our dental team for guidance.
What Happens at an Emergency Dental Appointment?
In most cases, Dr. Philips’ team will take an x-ray or two of the area to diagnose common problems like infection, decay, or fractures. Then, Dr. Philips will examine the area and make treatment recommendations.
An emergency dental appointment aims to relieve pain and stabilize your condition. A follow-up dental appointment might be necessary to complete treatment and discuss ongoing dental care.
However, we will not send you home in pain. Stabilizing your dental emergency means restoring your well-being, removing the threat to your tooth and oral health, and eliminating the pain.
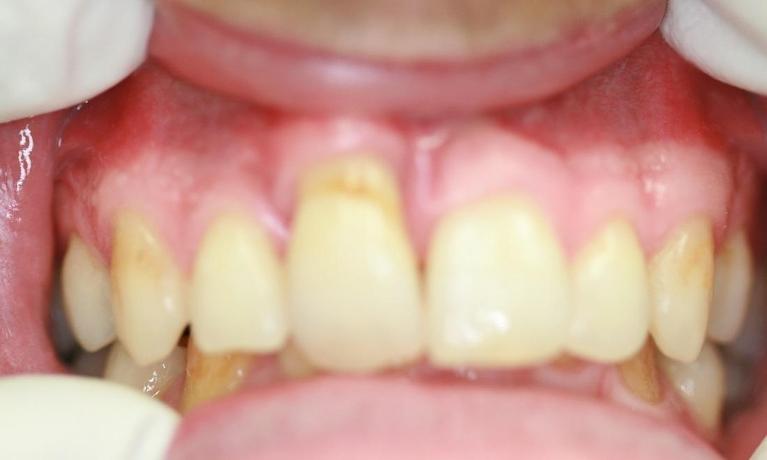
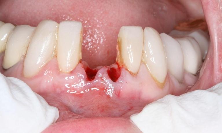
What if I Need a Tooth Extraction?
We provide gentle and efficient tooth extractions in our Midtown NYC dental office under local anesthetic.
By taking digital x-rays of the area, Dr. Philips can plan for the most effective course to remove the tooth.
In the rare event that we need to refer a complicated extraction to an oral surgeon specialist, Dr. Philips will recommend someone she trusts with a solid reputation for exceptional patient care.
What Are Some Reasons I Might Need a Tooth Extraction?
If your dentist recommends tooth extraction, there is always a good reason. In some cases, extraction starts the journey toward a healthier or more attractive smile.
For example, if you’ve decided on Invisalign to straighten your teeth, an extraction may be necessary if your jaw cannot accommodate all your teeth.
Extractions are also necessary before complete dentures.
More common reasons for emergency extractions include:
- Severe tooth decay
- Tooth trauma
- Deep infection
If you have troublesome wisdom teeth—failing to fully erupt or encroaching on needed teeth—extraction is typically the solution. Fortunately, you don’t need wisdom teeth to enjoy a complete and functioning smile.
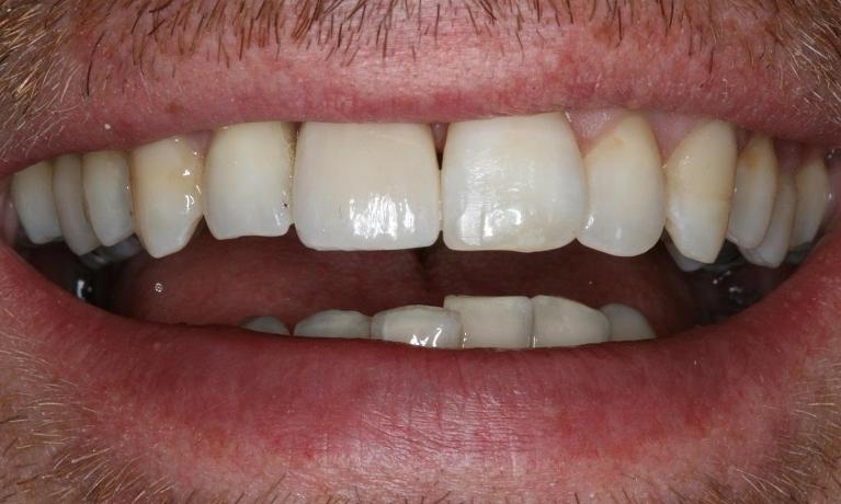
Do You Offer Tooth Replacement Options Post-Extraction
No tooth replacement is required for wisdom teeth, as wisdom teeth are non-essential to chewing and speaking. Many wisdom teeth become problematic because inadequate space exists in the jawbone for normal eruption.
Dr. Philips will likely recommend one of the many tooth replacement options we offer for other teeth.
- Dental implants
- Fixed dental bridges
- Partial dentures
- Complete dentures
- Implant-retained bridges or dentures
Implant-retained prosthetics like dentures rely on four to six dental implants. This means your denture is fixed to your jaw, eliminating slippage and movement.
Tooth extraction does not mean the end of a healthy and beautiful smile. Our professional team will guide you through the entire process and help you choose the option that best fits your needs and goals.
How Can I Lower My Dental Emergency Risks?
Infections and deep decay are the most common dental emergencies. The best ways to lower your risks for these types of toothaches and tooth damage include:
- Twice-yearly exams and teeth cleanings
- Twice-daily brushing and flossing sessions—at least
- Talking to your dentist if you notice oral health changes
Your dentist, along with the American Dental Association, recommends these twice-yearly dental visits because this schedule has been shown to reduce your risks for preventable conditions like tooth decay, gum disease, and dental emergencies.
And you can talk to your hygienist after your teeth cleaning about tips for optimal brushing and flossing at home.
Also, if you grind and clench your teeth—a condition known as bruxism—talk to Dr. Philips about a custom nightguard to prevent grinding and clenching during sleep.
Bruxism can lead to tooth breakage, tooth loss, and dental emergencies due to pain and fractures.
Additionally, without treatment, bruxism can cause jaw joint issues like TMJ. We offer gentle appliance therapy to address these issues.
And if you play sports, consider a mouthguard to protect your smile.
Orthodontics like Invisalign can also lower decay and fracture risks by evening out your bite surface. Additionally, straight teeth are easier to brush and floss effectively, lowering your risks for preventable dental emergencies.
Contact Us if You Have a Dental Emergency in Midtown NYC
We encourage you to contact us at the first signs of a change to your oral health. Fast action on your part, combined with the appropriate treatment, can make the difference between keeping and losing a tooth.
Reach out to a friendly and compassionate team member if you have a dental emergency or if you’re unsure. We can provide the best advice to keep your teeth and gums healthy and pain-free!
What Is a Dental Emergency?
Common Dental Emergencies