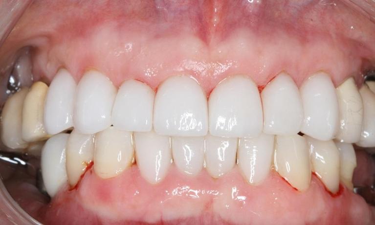
Porcelain Veneers
Porcelain veneers are an excellent option to improve the appearance, color, texture, and size of your teeth. For people who have teeth that look too short, chipped, discolored, yellow, or irregularly shaped, porcelain veneers provide a solution that can give you a perfect-looking smile.
How Can Porcelain Veneers Improve My Smile?
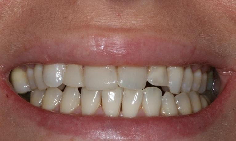
As a cosmetic dentist, Dr. Philips is an expert in providing elegant, long-lasting, and natural-looking porcelain veneers. It’s the best-kept secret in her practice. Dr. Philips’ patients get a lot of compliments for their naturally looking smile from friends, relatives, and coworkers. Dr. Philips makes her veneers very thin and translucent, so light passes through them.
Will Porcelain Veneers Look Natural?
Veneers are fabricated with a pattern of grooves that reflect light the way natural teeth do. They will have natural-looking shading and contours that complement your facial structure and skin tone. Often, women’s and men’s teeth look different, so we will take that into account when designing your new smile, as well.
Naturally, your smile goals are the guiding principle behind our smile makeovers. Dr. Philips will speak to you in-depth about what your dream smile looks like, and also plan for comfortable function during the treatment planning process.
How Do Porcelain Veneers Work?
Dr. Philips will prepare the teeth for porcelain veneers, take impressions of your teeth that are sent to a specialized cosmetic dental laboratory, and install comfortable temporary veneers for protection. When the patient returns, the porcelain veneers will be fitted and bonded to the teeth.
Time to enjoy the beautiful smile and keep your teeth in pristine condition!
How Do I Prepare for My Veneers Treatment in Midtown, NYC?

Excellent oral health is essential before beginning any restorative dentistry treatment. Dr. Philips will perform a full exam to rule out decay, gum disease, or bite issues. Her expertise and guidance will help you get back on track to great oral health.
You might also consider teeth whitening prior to veneer, crown, or bonding placement for an overall brighter final look. Veneers do not whiten like natural teeth, so we want to make sure you have a final shade that you love. Do Veneers Take a Long Time?
Once you have an exam, and your teeth and gums are healthy, you can have your new smile in just a few appointments in our Midtown, Manhattan dental practice. Your temporary veneers give you the opportunity to try on your new dream smile and ensure that you are thrilled with the results.
Interested in Veneers in Midtown, NYC?
Contact Advent Dental to arrange a dental appointment with cosmetic dentist, Dr. Helma Philips. We look forward to helping you achieve the smile that you want to show the world.
How Long Do Veneers Last?
#1 Consultation