Helma Philips, DDS
Aesthetic, Restorative & Implant Dentistry in Midtown NYC

Implants

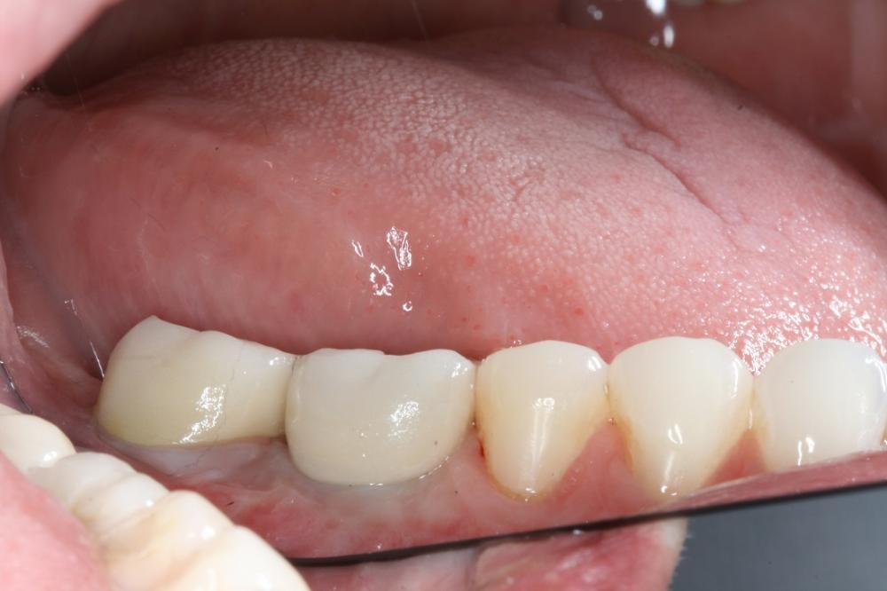
First phase of treatment.

new dental implant in manhattan

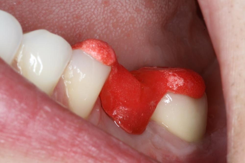
A healing abutment was placed in the second phase of treatment.

dental implant process midtown manhattan

Healing abutment.

dental implant process nyc

 

Related Services:

Dental Implants
Improve your smile today – call to schedule a consultation!
If you have difficulty using our website, please email us or call us at (212) 644-0004
View the ADA Accessibility Statement