Helma Philips, DDS
Aesthetic, Restorative & Implant Dentistry in Midtown NYC
Helma Philips, DDS
Aesthetic, Restorative & Implant Dentistry in Midtown NYC
Request an Appointment
Visit us on Yelp
Watch our Youtube Videos
Leave a Google Review
(212) 644-0004
509 Madison Ave., Suite 702
509 Madison Avenue, Suite 702
New York, NY 10022
New York, NY 10022
Home
About
Our Team
Dr. Helma Philips
Technology
Office Pictures
Services
View All
Bruxism and TMJ Treatment
Cosmetic Dentistry
Dental Bridges and Dentures
Dental Emergencies and Extractions
Dental Implants
Fillings, Crowns, and Onlays
Invisalign Clear Aligners
Laser Teeth Whitening
Porcelain Veneers
Preventive and General Dentistry
Smile Gallery
Testimonials
Patient Info
View Patient Info
Forms
Financial
FAQs
Blog
Patient Referrals
Contact
Helma Philips, DDS
>
Smile Gallery
>
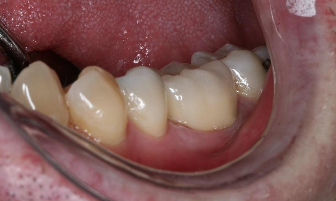
Black Molar Implants
Black Molar Implants
Return to Smile Gallery
Previous
Next
Back molar implants
Related Services:
Dental Implants
Click image to see a larger picture
Before
After
Ready to book an appointment?
Schedule Now
If you have difficulty using our website, please
email us
or call us at
(212) 644-0004
View the
ADA Accessibility Statement
Turn on ADA Views
OK!
×
×
Contact Us Today
Give Us A Call
Helma Philips, DDS -
(212) 644-0004
Send Us an Email
Ready to Schedule an Appointment?
Book Online
Have Questions? Contact Us:
Required Field
Your Name:
Phone:
Email:
Are you a new patient?:
Are you a?
New Patient
Current Patient
How would you like us to contact you?
Please choose
Email
Call
How did you hear about us?
Please choose
I'm an existing patient
Google/Bing
Mailer
Word of mouth
Social media
Other
Who Referred You?:
Your Message:
This site is protected by reCAPTCHA and the Google
Privacy Policy
and
Terms of Service
apply.
Sending...
×
This Patient's Experience
Loading Testimonial...
Loading Case...